How To Read A Knee Mri
Magnetic resonance imaging mri is a technology often used to investigate the sources of knee problems.

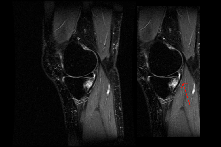
How to read a knee mri. An x ray is useful to verify that there is no break or dislocation when there is a history of trauma. May show signs of osteoarthritis. Computed tomography ct scans and technetium 99m bone scans are also sometimes used to monitor the progress of treatment. Minnesota timberwolves all star jimmy butler is expected to undergo surgery in the coming days to repair a torn meniscus in his right knee and could return in four to six weeks league sources.
From the chief of msk radiology stanford university. What would that be. I am not looking for knee surgery but wouldnt an mri indicate if it is a torn meniscus pulled ligament osteoarthritis etc so i could get the proper treatment. Blow to the knee.
If the knee is swollen and red and warm to the touch when compared to the other knee a doctor may be. Magnetic resonance imaging mri is a test that uses powerful magnets radio waves and a computer to make detailed pictures inside your body. Breast mri wrist 73221 73223 bilateral 77059 hand 73221 73223 brachial plexus 71550 71552 hip 73721 73723 brain 70551 70553 knee 73721 73723 mra intracranial 70544 only done without contrast ankle 73721 73723. Efficient review of knee mri.
Unlike plain radiographs x rays ct scans and mri scans can show the exact location and extent of the lesion. Hip knee ankle 73721 without contrast 73722 with contrast 73723 with without contrast mra 70541 angio headneck 71555 chest 72159 spinal canal 72198 pelvis 73225 upper extremity 73725 lower extremity 74185 abdomen 75660 external cartoid unilateral breast 76093 unilateral with or without contrast. These waves are then translated into images we can use for diagnosis. Aching sharp or burning where its located eg.
Your doctor can use this test to diagnose you or to. It works by emitting magnetic waves that bounce off tissue bones and organs in different ways. While mri and arthroscopy have a close correlation x ray films tend to be less inductive of similar mri results.

























































































