How To Remove Brown Stains From Teeth


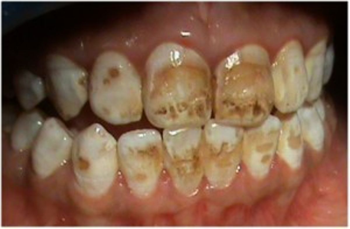
Brown Spots On Teeth Near Gums Teethwalls

Brown Spots On Teeth Near Gums Teethwalls

Tooth Stains Gallery Dr Jack M Hosner D D S

Tooth Stains Gallery Dr Jack M Hosner D D S

What Is A Permanent Solution For Brown Or Black Stains On Teeth I

What Is A Permanent Solution For Brown Or Black Stains On Teeth I

Whiten Your Teeth Naturally Safely 6 Easy Ways Dr Axe

Whiten Your Teeth Naturally Safely 6 Easy Ways Dr Axe

Teeth Cleaning Scaling Brij Dental Clinic

Teeth Cleaning Scaling Brij Dental Clinic