How To Remove Black Tartar From Teeth Without Dentist


How To Remove Plaque And Tartar Best Home Treatments

How To Remove Plaque And Tartar Best Home Treatments

Gbt Step 06 Calculus Removal With Piezon And The Ps Instrument

Gbt Step 06 Calculus Removal With Piezon And The Ps Instrument

Amazon Com Professional Dental Tartar Scraper Tool Dental Pick

Amazon Com Professional Dental Tartar Scraper Tool Dental Pick

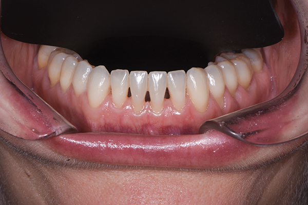
Gum Disease Gallery Dr Jack M Hosner D D S

Gum Disease Gallery Dr Jack M Hosner D D S

5 Removing Bacteria And Plaque

5 Removing Bacteria And Plaque