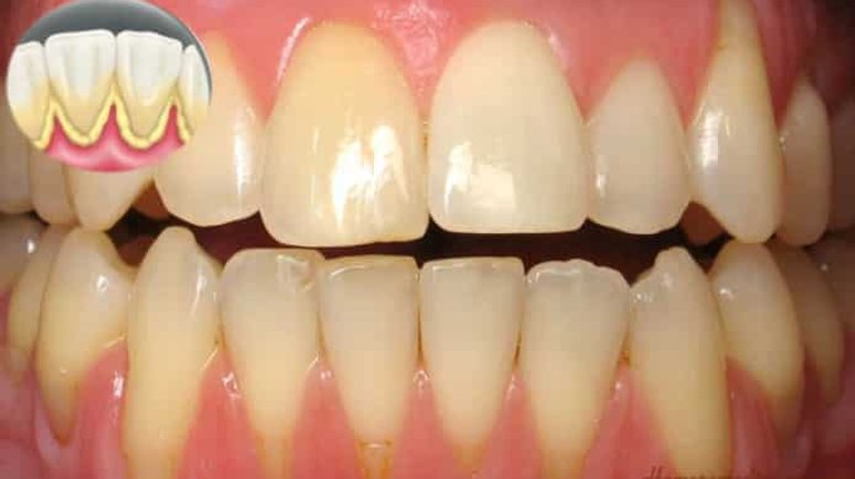
How To Get Rid Of Tartar Buildup On Teeth


How To Remove Tartar And Plaque In 3 Minutes Without Scaling

How To Remove Tartar And Plaque In 3 Minutes Without Scaling

No Need To Go To The Dentist To Remove Tartar Here S A

No Need To Go To The Dentist To Remove Tartar Here S A

How To Remove Plaque And Tartar At Home Naturally Tooth Decay

How To Remove Plaque And Tartar At Home Naturally Tooth Decay

13 Home Remedies To Remove Dental Plaque Tartar Naturally

13 Home Remedies To Remove Dental Plaque Tartar Naturally

What Is Tartar

What Is Tartar